 |
|
 |
|
Select Destination
|
Site Search
|
 |
 |
|
|
 |
Grower Diaries
|
| |
|
Entry Date
|
Nick Name
|
Location
|
|
Saturday, April 13, 2024
|
|
Matt from KS
|
Stilwell, KS
|
|
Entry 15 of 56 |
|
|
|
|
|
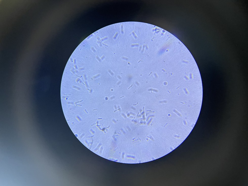
Compost brew at day 4 @ 70F with bubbler, I think the jointed lines are bacteria splitting(?)
|
|
|
| |
|
Top of Page
Questions or comments? Send mail to Ken AT bigpumpkins.com.
Copyright © 1999-2025 BigPumpkins.com. All rights reserved.
|